NEXUS Magazin: https://www.nexus-magazin.de/artikel/lesen/sind-mykobakterien-die-wahren-aids-erreger
Noch immer wird heiß diskutiert, ob HIV tatsächlich ein Virus ist, aber damit es zu einer voll ausgeprägten AIDS-Erkrankung kommt, muss es noch einen weiteren Faktor geben wie Mykobakterien, die dem Tuberkuloseerreger ähneln.
Sind Bakterien, die dem Tuberkuloseerreger ähneln, nötig, um die HIV-Infektion zu einer voll ausgeprägten AIDS-Erkrankung werden zu lassen? Werden virusähnliche und latente Bakterienarten im Körper von AIDS-Patienten nicht bemerkt bzw. erkannt? Könnte HIV („das AIDS-auslösende Virus“) möglicherweise die virusartige Form eines Tuberkuloseerregers (TB) sein? Fragen wie diese gelten als blasphemisch, weil die meisten Wissenschaftler das Humanimmunschwächevirus (HIV) für „die einzige Ursache von AIDS“ halten.
Tatsächlich gibt es jedoch eine enge Verbindung zwischen AIDS und TB, und Infektionen mit tuberkulösen und nichttuberkulösen Mykobakterien sind häufig auftretende „opportunistische Infektionen“ bei AIDS.
Dieser Artikel untersucht die Möglichkeit, dass sich erst durch diese Bakterien eine HIV-Infektion zu einer vollen AIDS-Erkrankung „auswachsen“ kann.
Um es noch einmal deutlich zu sagen: Man kann sich nicht durch engen Kontakt mit den Patienten mit HIV/AIDS infizieren, obwohl HIV offensichtlich durch ungeschützten Geschlechtsverkehr mit einer infizierten Person übertragen wird. HIV verbreitet sich nicht über die Luft. Dagegen können die säurefesten Mykobakterien, die die pulmonale TB bei Menschen auslösen, durchaus durch eine Tröpfcheninfektion von Mensch zu Mensch übertragen werden. Anders als andere Bakterien erscheinen Mykobakterien rot oder rötlich violett, wenn sie im Labor mit einer säurefesten Einfärbung behandelt werden. Das „säurefeste“ Einfärben benutzt man, um Mykobakterien zu identifizieren, weil es sich dabei um ein einzigartiges Charakteristikum dieser Mikroben handelt.
Die zwei häufigsten säurefesten Mykobakterienarten, die man bei AIDS vorfindet, sind Mycobacterium tuberculosis (der Keim, der TB bei Menschen auslöst) und Mycobacterium avium. M. tuberculosis tritt nur bei Menschen auf, aber andere Spezies oder Arten von „nichttuberkulösen“ Mykobakterien (wie M. avium) finden sich überall in der Natur: sowohl im Wasser, in der Erde, bei Tieren als auch bei Menschen. Bitte informieren Sie sich bei Wikipedia über nähere Einzelheiten in Bezug auf Tuberkulose und die verschiedenen Arten von säurefesten Mykobakterien, mit denen AIDS-Erkrankte sich anstecken können.
HIV und TB-Mykobakterien sind eine tödliche Mischung. Jemand, der HIV-positiv und mit TB-Bazillen infiziert ist, erkrankt mit sehr viel höherer Wahrscheinlichkeit an TB als jemand, der sich mit TB-Bazillen angesteckt hat, aber HIV-negativ ist. Am erschreckendsten aber ist, dass bei HIV-Patienten vermehrt arzneimittelresistente TB auftritt, vor allem in Schwarzafrika.
Die Weltgesundheitsorganisation (WHO) schätzt, dass sich in jeder Sekunde ein Mensch auf der Welt mit TB-Bakterien ansteckt. Ein Drittel der Weltbevölkerung ist mit TB-Mikroben infiziert. Die meisten infizierten Menschen erkranken aber gar nicht erst an TB, weil das Immunsystem die TB-Bazillen „abblockt“ und sie jahrelang ruhen lässt. Ist das Immunsystem eines Menschen aber geschwächt, erhöht sich die Wahrscheinlichkeit einer Erkrankung.
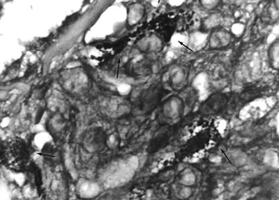
TB-Mykobakterien sind bekanntermaßen „pleomorph“, sie können also in Kulturen und im Gewebe verschiedene Wachstumsformen aufweisen. Seit Jahrzehnten schon untersucht man „pleomorphe“ Formen von M. tuberculosis und anderen Spezies von „nichttuberkulösen“ und „atypischen Mykobakterien“ hinsichtlich ihrer Auswirkungen auf menschliche Krankheiten. Leider schenken die Wissenschaftler diesen pleomorphen Formen wenig Aufmerksamkeit, und Pathologen stützen sich in erster Linie auf den Nachweis „typischer“ säurefester Stäbchenformen von Mykobakterien, um Tuberkulose und/oder mykobakterielle Krankheiten zu diagnostizieren (Abb. 4). Das ist bedauerlich, weil die säurefesten Bakterien, die bei AIDS und Krebs (und einigen anderen immunologischen Krankheiten) nachgewiesen werden können, meist pleomorphe und „filterbare“ Formen sind, die oft unerkannt bleiben (Abb. 1 bis 3).

Abb. 1: Pleomorphe Bakterien in einem vergrößerten Lymphknoten eines frühen AIDS-Stadiums. Zu sehen sind sowohl große Russell-Körperchen (RB) als auch kleine, runde, kokkenartige Formen (Pfeil). Gram-Färbung, tausendfache Vergrößerung, in Öl.

Abb. 2: Winzige gekörnte und kokkenartige Formen von Bakterien (Pfeile) im Hauttumor eines AIDS-bedingten Kaposi-Sarkoms. Säurefeste Färbung, tausendfache Vergrößerung, in Öl.

Abb. 3: Drei Gebiete von violett gefärbten, runden, kokkenartigen Bakterienformen in einem Fall von AIDS-bedingtem Kaposi-Sarkom der Haut. Säurefeste Färbung, tausendfache Vergrößerung, in Öl.

Abb. 4: Drei „typische“ rot gefärbte, säurefeste Stäbchenformen von Mycobacterium avium in einem AIDS-bedingten karzinösen Hauttumor („immunoblastisches Sarkom“). Säurefeste Färbung, tausendfache Vergrößerung, in Öl.
Durch M. tuberculosis ausgelöste TB ist eine Haupttodesursache bei HIV-positiven Menschen und verantwortlich für etwa 13 Prozent der AIDS-Toten weltweit.
Die Spezies der säurefesten Mykobakterien, die eine AIDS-Erkrankung begleiten, hängt vor allem von dem Gebiet ab, in dem man lebt. Bei M. tuberculosis handelt es sich beispielsweise um die gewöhnliche säurefeste Infektion in Afrika und Brasilien, wohingegen in den Vereinigten Staaten der M.-avium-Komplex die am weitesten verbreitete Spezies der säurefesten Infektionen ist.
Bemudez et al. schätzen, dass 50 bis 60 Prozent der AIDS-Patienten in den USA mit dem nichttuberkulösen Mycobacterium-avium-Komplex infiziert sind. Nur selten findet man in den Vereinigten Staaten einen Fall von M. avium, der nicht mit AIDS in Verbindung steht.
Für eine AIDS-Diagnose muss das Blut des Patienten positiv auf HIV getestet worden sein. Dennoch gibt es einen deutlichen klinischen Unterschied zwischen HIV und AIDS. Manche Menschen sind bekanntermaßen schon Monate oder Jahre HIV-positiv, bevor sie Anzeichen für die Immunsuppression und / oder opportunistische Infektionen zeigen, die charakteristisch für eine „voll ausgeprägte“ AIDS-Erkrankung sind. Daher ist es möglich, dass ein weiterer infektiöser Erreger (zusätzlich zu HIV) nötig ist, um AIDS ausbrechen zu lassen.
Diese Verbindung lässt vermuten, dass Mykobakterien und „Mykoplasmen“ notwendige Cofaktoren für AIDS sind.
Eine Infektion mit HIV führt zu Immunsuppression und unvermeidlichen opportunistischen Infektionen. Die Haupttodesursache bei AIDS sind bakterielle Infektionen, und Infektionen mit Mykobakterien treten häufig in fortgeschrittenen AIDS-Stadien auf.
Wie HIV können auch Mykobakterien das Immunsystem schädigen und die Anzahl der Lymphozyten mit CD4- und CD8-Rezeptoren im Blut verringern, was auch typisch für AIDS ist.
Obwohl die meisten Wissenschaftler darin übereinstimmen, dass HIV AIDS verursacht, gibt es eine kleine, aber lautstarke Gruppe von Forschern, die Perth Group, die HIV als Ursache leugnen. Der Wortführer der Gruppe, der Molekularbiologe Peter Duesberg, glaubt, dass AIDS bei Homosexuellen auf Drogenmissbrauch bei gleichzeitiger starker sexueller Aktivität zurückzuführen ist. Bei Google finden Sie unter dem Stichwort „The Perth Group“ weitere Einzelheiten, warum diese Gruppe die HIV-These ablehnt. Die US-amerikanische Gesundheitsbehörde NIH hat auf einer Webseite mit dem Namen „The Evidence that HIV Causes AIDS“ ihre Gegenargumente veröffentlicht.1
Es soll hier genügen zu sagen, dass weder die AIDS-Kritiker noch die führenden AIDS-Forscher den TB-Bakterien als grundlegendem und notwendigem Cofaktor bei der AIDS-Erkrankung viel Aufmerksamkeit schenken.
Wie bereits erwähnt, treten Mykobakterien nicht nur in der typischen säurefesten (rot gefärbten) Stäbchenform auf. Die pleomorphen Formen der Mykobakterien umfassen auch Formen mit Zellwand-Defizienz, sogenannte „L-Formen“, filterbare Formen, gekörnte Formen und virusartige Formen sowie „Riesenkörperchen“, von denen manche so groß sind wie rote Blutkörperchen. Diese atypischen Formen werden von den Wissenschaftlern nicht ausreichend gewürdigt, aber sie wurden wiederholt nicht nur bei AIDS, sondern auch bei Krebs und bestimmten Immunerkrankungen beschrieben.
Seit etwa 100 Jahren sind die „virusartigen“, „filterbaren“ und „gekörnten“ Formen der TB-Bakterien den Forschern bekannt. Einige dieser Formen sind submikroskopisch. Die Beziehung zwischen diesen submikroskopischen virusgroßen Mykobakterienformen und dem, was Wissenschaftler gemeinhin als „Virus“ bezeichnen, ist noch nicht vollständig erforscht.
Könnten winzige submikroskopische Bakterienformen, virusartige Mykoplasmaformen und erst kürzlich beschriebene „Nanobakterien“ mit Retroviren wie HIV verwandt sein? Gegenwärtig schweigen Virologen und Bakteriologen zu diesem Thema.
Man weiß nicht, wie Viren entstanden sind. Klar ist hingegen, dass virusartige Mykoplasmen mit Bakterien verwandt sind.
In den späten 1980er Jahren wurde ein neues „Virus“ entdeckt und bei AIDS-Fällen gemeldet. Bei näherer molekularbiologischer Betrachtung stellte sich jedoch heraus, dass es sich bei dem „virusartigen infektiösen Erreger“ tatsächlich um eine kleine Bakterienform namens Mycoplasma penetrans handelte.
Die darauffolgende Studie von Luc Montagnier, einem der Entdecker von HIV, deutet darauf hin, dass mykoplasmische Bakterien als Cofaktor bei der Entwicklung von AIDS wirken. In einem Interview mit der New York Times erklärte der für das Institut Pasteur arbeitende Wissenschaftler, dass „AIDS nicht nur durch ein Virus, sondern durch das Zusammenwirken einer Mikrobe mit einem Virus ausgelöst wird“.2
Bei Labortests fand Montagnier heraus, dass ein kleiner bakterienartiger Organismus, das sogenannte „Mykoplasma“, in Kombination mit HIV menschliche Zellen auf eine Art und Weise tötet, wie HIV alleine es nicht vermag.
Dazu Times-Reporter Philip J. Hilts:
„Wird die Theorie bestätigt, müsste daraus eine drastische Neubewertung der Anstrengungen, AIDS vorzubeugen und zu behandeln, erfolgen.“
In seinem Buch „Virus“ (2000) schreibt Montagnier, dass Mycoplasma penetrans wie ein Virus in eine Zelle eindringen kann:
„Wir wissen nicht, ob M. penetrans tatsächlich der Cofaktor ist, der die Virulenz von HIV erklärt, aber es verfügt in jedem Fall über die richtigen Charakteristika: Schwache Präsenz bei der HIV-negativen Bevölkerung, weite Verbreitung bei den HIV-Positiven. Und es könnte noch andere, bisher unbekannte Spezies von Bakterien in nicht mit M. penetrans infizierten AIDS-Patienten geben, die eine diesem Mykoplasma ähnliche Rolle spielen.“
HIV ist ein krebserregendes Virus, und HIV-positive Menschen haben ein erhöhtes Risiko, an bestimmten Krebsarten zu erkranken, insbesondere an Lymphomen und Kaposi-Sarkomen. Daher muss AIDS eine Verbindung zu Krebs und seiner Ursache haben.
Derzeit gehen die meisten Wissenschaftler davon aus, dass manche Krebsarten von Viren verursacht werden. Aber schon seit dem späten 19. Jahrhundert gibt es Berichte, die andeuten, dass Bakterien – und nicht Viren – die infektiöse Ursache für Krebs sind. Im Jahr 1890 entdeckte der schottische Pathologe William Russell einen „Krebsparasiten“ bei allen Krebspatienten, die er untersuchte. Er hielt diese Parasiten für die infektiöse Ursache von Krebs.
Pathologen nehmen diese „Russell-Körperchen“ im Krebsgewebe zwar zur Kenntnis, betrachten sie jedoch nicht als infektiöse Erreger. Russells Beobachtungen wurden von seinen Kollegen verworfen, die Krebs nicht für eine infektiöse Krankheit hielten und keine Kenntnis von den großen „pleomorphen“ Bakterienformen hatten, zu denen die Russell-Körperchen gehören.3
Die Idee, dass Krebs von Bakterien verursacht wird, wird in onkologischen Kreisen im Allgemeinen verworfen. Der Grund für den Widerstand gegen die Theorie, dass Krebsmikroben Krebs auslösen, ist seltsam, weil es auf diesem Gebiet viele glaubwürdige Forschungen gibt und die Theorie noch nicht widerlegt wurde.
Dass man seit kurzem Bakterien als Ursache für die meisten Magengeschwüre vermutet, ist eine deutliche Mahnung, dass auch Generationen von Wissenschaftlern irren können und Bakterien in ernsthaften und weit verbreiteten Krankheiten nicht erkennen.
An dieser Stelle können nicht alle Beweise angeführt werden, die auf Bakterien bei Krebs und AIDS hinweisen. Einzelheiten zu einem Jahrhundert Krebsmikrobenforschung können in meinem Buch „The Cancer Microbe: The Hidden Killer in Cancer, AIDS, and other Immune Diseases“ (1990) nachgelesen werden. Sieben von mir verfasste Arbeiten, die Mikrophotogramme von Krebsmikroben bei verschiedenen Krankheiten einschließlich AIDS enthalten, finden Sie unter www.joimr.org.
Eine Gruppe von vier Wissenschaftlerinnen zählte im 20. Jahrhundert zu den Hauptbefürwortern der Theorie, dass Bakterien die Ursache für Krebs sind: Die Ärztin Virginia Livingston, die Mikrobiologin Eleanor Alexander-Jackson, die Zytologin Irene Diller und die weltberühmte Biochemikerin und Tuberkuloseexpertin Florence Seibert. Über ihre bemerkenswerte Zusammenarbeit in der Krebsforschung habe ich in „Four Women Against Cancer: Bacteria, Cancer and the Origin of Life“ (2005) geschrieben. Eine Fülle an Informationen kann man auch im Internet finden, wenn man nach den Begriffen „cancer bacteria“ (Krebsbakterien) und / oder „cancer microbes“ (Krebsmikroben) sucht.
1950 erkannte Virginia Livingston als erste Wissenschaftlerin, dass Krebsmikroben hoch pleomorphe Erreger sind, die mit den säurefesten Mykobakterien, die TB verursachen, eng verwandt sind. Der Schlüssel zum Nachweis von Krebsmikroben in Kulturen und Krebsgewebe war ihre Entdeckung, dass sich die Mikrobe in einem Stadium ihres „Lebenszyklus“ „säurefest“ einfärbte. Sie und ihre Kolleginnen berichteten, dass die verschiedenen pleomorphen Formen der Krebsbakterien virusartig, mykoplasmaartig und pilzartig waren.
Als die ersten AIDS-Fälle bekannt wurden, war ich der erste Forscher, der säurefeste Bakterien als mögliche Ursache des „klassischen“ Kaposi-Sarkoms vermutete. Vor der Entdeckung von HIV im Jahr 1984 zeigte ich, dass säurefeste Bakterien in den vergrößerten Lymphknoten zu finden waren, die auch im frühen AIDS-Stadium auftreten (dem sogenannten „AIDS-bedingten Komplex“), in AIDS-bedingten Kaposi-Sarkomen (abfällig „Schwulenkrebs“ genannt) sowie in den AIDS-geschädigten Organen bei der Autopsie eines AIDS-Falles mit tödlichem Ausgang. Diese Studie wurde in medizinischen Fachzeitschriften veröffentlicht und 1984 in meinem Buch „AIDS: The Mystery and the Solution“ zusammengefasst. Dennoch wurden diese Befunde von den AIDS-Experten unerklärlicherweise außer Acht gelassen.
Trotz der Proteste der AIDS-Kritiker ist ein „positiver“ HIV-Test außerordentlich wichtig, weil er auf eine mögliche bevorstehende Immunsuppression und opportunistische Infektionen hinweist, die den Ausbruch der AIDS-Erkrankung begleiten. Deshalb ist es nötig, eine Ansteckung mit HIV auf sexuellem Weg zu vermeiden und sich einem HIV-Antikörpertest zu unterziehen, wenn ein Verdacht besteht. Wenn jemand auf HIV getestet wird, testet man nicht direkt auf das Virus, sondern vielmehr auf die Antikörper gegen das Virus.
Doch um einen Labortest für HIV entwickeln zu können, musste zuerst HIV in großen Mengen im Labor gezüchtet werden. Aber wie geschah dies? Woher wissen wir, dass HIV-Laborkulturen „reine“ Viren sind? Wie können wir sicher sein, dass es sich beim HIV-Bluttest einzig und allein um Reaktionen auf HIV handelt? Könnten virusartige Mykoplasmen die HIV-Laborkulturen kontaminiert haben? Könnte HIV eine virusartige Form von TB-Mykobakterien und / oder virusartigem Mykoplasma sein? Dies sind einige der Fragen, die so manchen Forscher beschäftigen.
Allgemein wird behauptet, dass HIV ein Virus ist, obwohl einige wenige Forscher daran zweifeln. Einer der Gründe für ihre Zweifel ist die fragwürdige „Reinheit“ von HIV in Kulturen. Anders als Bakterien, die in künstlichen Kulturen gezüchtet werden können, müssen Viren in lebenden Zellen kultiviert werden. Im Jahr 1984 wurde HIV schließlich in Robert Gallos Labor unter großen Schwierigkeiten und mit fragwürdigen Methoden in Zellkulturen isoliert.
Der mit dem Pulitzer-Preis ausgezeichnete Schriftsteller John Crewdson bietet eine sehr ausführliche und ungeschminkte Darstellung der Entdeckung von HIV in „Science Fictions: A Scientific Mystery, A Massive Cover-Up, and the Dark Legacy of Robert Gallo“ (2002). Er schreibt, dass Gallos Labor HIV züchtete, indem man das Blut eines AIDS-Patienten mit dem Blut von zehn anderen AIDS-Patienten mischte. Dieses Gemisch wurde in eine Gewebekultur, eine „Zelllinie weißer Blutkörperchen“, die man einem Leukämie-Patienten entnommen hatte, eingesetzt. Schließlich konnte genug HIV aus diesem Hexengebräu kultiviert werden, damit Gallo auf dieser Basis seinen Bluttest entwickeln konnte. Es überrascht daher nicht, dass einige Forscher und Kritiker sowohl die „Reinheit“ der HIV-Laborkultur als auch die Genauigkeit des Bluttests, der eine HIV-Infektion nachweisen soll, in Frage stellen.
Die Mikrobiologin Phyllis Evelyn Pease behauptet in „AIDS, Cancer and Arthritis: A New Perspective“ (2005), dass das Mischen der Viren verschiedener Patienten zur Züchtung von HIV „die Isolation von Mykoplasmen schon beinahe garantiert“. Sie beunruhigt, dass unentdecktes Mykoplasma in den Krebszelllinien gewesen sein könnte, mit deren Hilfe man HIV züchtete, und merkt an, dass Mykoplasmen „in einer verdeckten, aber lebensfähigen Form überdauern und daher fehlerhafte Ergebnisse in der Serologie, der Biochemie und der Molekularbiologie verursachen können.“
Herkömmlicherweise trennt man im Labor „Viren“ durch den Einsatz von Filtern physisch von Bakterien. Bei entsprechend dimensionierten Filtern schlüpfen die kleineren Viren durch den Filter, und die größeren Bakterien bleiben zurück. Doch in Wirklichkeit ist die Trennlinie zwischen Viren und Bakterien nicht so einfach zu ziehen. Pease schreibt, dass „jetzt weitgehend anerkannt wird, dass kleine Bakterienformen, darunter Mykoplasmen, durch den Filtervorgang nicht abgesondert werden.“ Sie erklärt, dass „solche filterbaren Formen in der Vergangenheit als Viren identifiziert wurden, bis man sie aufgrund ihrer Fähigkeit, in [einem] zellfreien Medium zu wachsen, als Bakterien, also als Mykoplasmen, erkannte.“ Kurz gesagt legt sie nahe, dass manche Retroviren wie HIV vielleicht „subzelluläre Bakterienformen“ sind.
Der Arzt Lawrence Broxmeyer glaubt, dass TB-artige Bakterien AIDS verursachen. In „AIDS: What the Discoverers of HIV Never Admitted – Is AIDS Really Caused by a Virus?” (2003) untersucht er die medizinische Fachliteratur und kommt zu dem Schluss, dass M. tuberculosis, vielleicht zusammen mit anderen Spezies von säurefesten Bakterien (wie M. avium), eine wahrscheinliche Ursache für AIDS und die damit verbundenen Abnormitäten des Immunsystems ist. Er vermutet, dass HIV „einfach eine der L-Formen [d. h. der mykoplasmaartigen Formen] von […] atypischen Mykobakterien ist.“
Die Rückseite von Broxmeyers Buch verkündet:
„Es war einmal eine kleine Gruppe von Wissenschaftlern mit politischem Einfluss, die eine fehlerhafte Theorie über den Ursprung von und die Ursache für AIDS erst Amerika und dann der ganzen Welt eintrichterte. Noch immer sollen wir glauben, es sei ein großes Glück gewesen, dass die eben erst in den 1970ern entdeckten Retroviren gerade rechtzeitig genug entdeckt wurden, um sie als Verursacher der tödlichen AIDS-Epidemie abzustempeln. Obwohl man gegenwärtig kaum jemanden findet, der HIV als Ursache für AIDS offen in Frage stellt, drücken immer mehr ihre Zweifel im privaten Kreis aus.“
Broxmeyer glaubt, dass die Aussicht, ein Heilmittel oder einen AIDS-Impfstoff zu finden, davon abhängt, ob die TB-Bakterien als zugrundeliegende Ursache anerkannt werden.
Die AIDS-Epidemie ist eine Katastrophe für die Menschheit. 25 Millionen Menschen sind bereits daran gestorben, darunter eine halbe Million Amerikaner. 40 Millionen sind gegenwärtig mit HIV infiziert. Es gibt kein anerkanntes Heilmittel für AIDS, und die bestehende Therapie ist so teuer, dass nur wenige Menschen auf der Welt sie sich ohne finanzielle Unterstützung leisten können.
AIDS ist eine Milliarden-Dollar-Industrie, und es wurden schon Milliarden Dollar in eine AIDS-Forschung gepumpt, die gänzlich auf der allzu simplen Annahme beruht, dass die Krankheit einzig und allein durch ein Virus verursacht wird.
Die Rolle der Bakterien bei der Entstehung von AIDS wird größtenteils missachtet, obwohl selbst Luc Montagnier (der als erster HIV im Institut Pasteur entdeckte) glaubt, dass Mykoplasmen ein notwendiger Cofaktor sind, damit HIV Zellen abtöten kann. Leider kennt Montagnier anscheinend weder meine Veröffentlichungen, die Bakterien in AIDS-geschädigtem Gewebe zeigen, noch meine Vermutung, dass diese Bakterien mykoplasmaartige und zellwandlose Bakterienformen darstellen, die mit den säurefesten Mykobakterien verwandt sind.
Es ist einfacher, Behandlungsmethoden für Bakterien zu entwickeln als für Viren. Sollten TB-artige Bakterien in hohem Maß dafür verantwortlich sein, dass HIV zu AIDS führt, könnten Antibiotika und möglicherweise sogar Impfstoffe entwickelt werden, um diese Krankheitserreger zu bekämpfen.
Obwohl säurefeste Mykobakterien als AIDS- und krebserregende infektiöse Erreger ignoriert werden, gibt es in der medizinischen Fachliteratur genügend Beweise, um weitere Untersuchungen und die Anerkennung dieser Bakterien als mögliche ursächliche Erreger zu rechtfertigen.
Dr. Cantwells Artikel „Do TB-type bacteria cause AIDS?“ erschien zuerst im Journal of Independent Medical Research (JOIMR, 2007; 5(1):1). Er ist mit Photos und Verweisen als PDF-Datei über die JOIMR-Website (www.joimr.org/JOIMR-2007-5-1-Cantwell.pdf) erhältlich.
Da gibt sich Nexus so alternativ, und dann schreibns, als ob Aids tatsächlich existiert? Es gibt keine einzige der PHARMALÜGEN, wie
SARS, BSE, EBOLA, AIDS und nicht zu vergessen die VOGELKRIPPE!
Ham die Schwerverbrecher der Pharmalobbys solche Macht, oder zahlen sie so gut, daß sich immer wieder Sschreiber finden, welche den Schwachsinn verbreiten?!
@westhus
Guter Mann, ich bin ja geneigt dir mit deiner Meinung Recht zu geben, allerdings ist es so einfach auch wieder nicht. Schon mal einen Aids-Patienten gesehen? Denkst du, die simulieren, ja? Und das beginnt, das muss man leider sagen VOR dem endgültigen Zusammenbruch durch die Medikamente ATZ, Retrovir, etc. Das sind alles Zelltöter und mit der Zeit sterben sie daran. Tatsache aber bleibt, irgendwas lässt sie krank werden, vermutlich sind es Parasiten, denn Hulda Clark hat nicht wenige davon geheilt. Das ging nur mit dem Zapper und mit Naturkräutern, mit Leberreinigungen, Nierenreinigungen und Blutreinigungen - that's it, AIDS ist NICHT unheilbar.
Schade - auch hier wird man für blöd verkauft. Wie lang wollt ihr euch noch Gehirnwaschen lassen?
Schade , dass die Pharma und die dahinter stecken so viel Macht haben.
AIDS soll jetzt also von Mykobakterien verursacht werden? Was für ein Schwachsinn ! Zur Zeit befinde ich mich im 7. Monat auf einer Isolierstation. Diagnose: offene TB , nach 5 Monaten wurde zusaetich eine NtM Infektion festgestellt. Hier sind über die Hälfte der Patienten von dieser Erkrankung betroffen. KEINER ist an Aids erkrankt . Wie dumm muss man sein, um nach heutigem Wissensstand das HIV Virus zu verleugnen ?
Durch Einnahmen der teuren Medikamente kommt die Aktivierung des Virus und vorher wird durch die gesamten Impfungen der HIV-Erreger im Körper platziert. Pharma-Mafia-System.